脸上出油厉害皮肤粗糙尤其是男生很容易长一些油脂痘痘的,还有的长出红硬的囊肿痘痘,洗脸时一不小心就可能弄破出血流脓,那么脸上囊肿痘痘破了流血怎么办怎么清理呢?看看这些处理办法吧。
脸上囊肿痘痘破了流血怎么办?
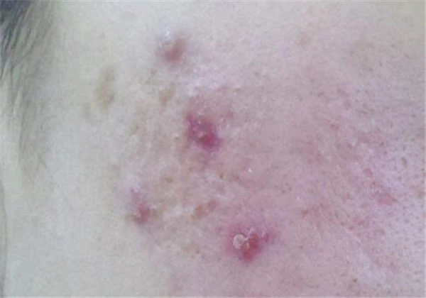
囊肿痘痘起初多为黑头粉刺,且头部呈黑色,而内里呈黄白色半透明的脂栓或者是又红又肿的硬痘痘。
正确的清理痘痘:
前面说过一般呈现又红又肿的痘痘多半是里面已经有了脂拴或者炎性脓液了,痘痘破了之后一定要确保用干净的指甲或其他工具把脓挤干净(四周各个角度都试试),挤完脓的痘痘会呈发红状态(火山一样),开始可能是脓血,挤到最后会有一个脓头也就是根部,一定要挤压干净到挤出来是白色的液体为止。这里需要用棉签或者化妆棉轻轻粘干保持痘痘附近无脓液。

正确的修复痘痘:
粘干净脓液后,需要我们用用少量酒精或含酒精的爽肤水、碘伏杀下菌,这是为了防止有伤口的破损处发生感染,同样也能促进痘痘愈合,杀菌完毕后需要涂抹一些芦荟胶或者厚涂氧氟沙星凝胶。

正确的护理皮肤:
1、如果囊肿痘痘涂抹几天后已经平下去了,这时候要特别注意护理去除痘印,比如晚上睡前可以点一滴Hr夜间修复精华/黑绷带(贵妇专利,学生党可以跳过这一步或者入小样 )或覆盖喜辽复凝胶点涂,去新生红痘印挺有效;
白天注意避免日晒导致痘印加深,外用美白去痘印的精华如原型精纯Vc精华、烟酰胺类精华、杏仁酸都是可以的,要看自己肤质及预算选择合适的。

2、囊肿痘痘主要原因是内分泌失调、皮脂分泌过多及毛囊内微生物感染,平时注意个人卫生的,卸妆要及时、洗脸要正确。
说到洗脸这里一定要注意使用温水,不能用过冷的水来洗脸,过冷的水容易让瘀血结成块,导致痘痘不容易好。同样也不能用很热的水洗脸,过热的水会让血液循环急速加快,刺激到痘痘容易红肿,所以尽量用温水洗脸。
小编有话说:
以上就是敏感肌肤Lady网(quhongxuesi.com)带来的关于脸上囊肿痘痘破了流血怎么办的回答,其实与其等到痘痘变硬变大,不如一开始就注意清洁、饮食、睡眠等方面。还有不了解祛痘问题的也可以咨询下方专业祛痘老师来解决。
满脸的痘痘、痘印怎么办?