每个人都想拥有一口美白亮丽的牙齿。它能让你的笑容更加灿烂,是你在社交时提升自信心的重要保障。但是现实往往不尽人意,受到现代饮食与生活习惯的影响,牙黄情况真的很尴尬,那么导致牙黄的因素是什么呢?我们又应该选择怎样的牙齿美白方式呢?

首先,我们先来说牙齿为什么会变色。
牙齿变色通常分为三种:
1、外因
跟个人饮食有很大关系,习惯性的饮食含色素的食物,比如浓茶、果汁、巧克力、糖果、抽烟等,导致色素残留在牙齿表面,日积月累造成色素沉积变色。
卫生问题,很多人没有养成按时刷牙、漱口的习惯,导致各种牙垢、牙渍不能及时清洁处理,久而久之就吸附在牙齿表面。

2、内因
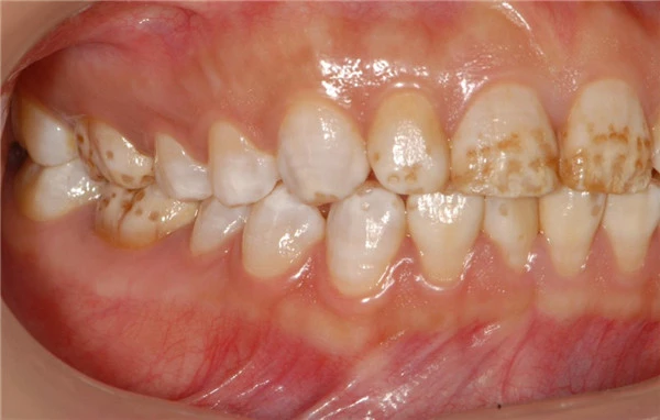
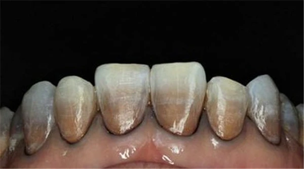
主要包括氟斑牙和四环素牙。
氟斑牙:
国内有些地区(尤其是北方)属于高氟地区,其饮用水中氟含量比较高;而目前市场上很多牙膏也含有氟,从而导致氟斑牙。具体表现为满口的大黄牙。

四环素牙:
在个人年幼、牙齿处于矿化形成期的时候,服用四环素药物;或者孕妇在怀孕期间服用四环素药物导致导致乳牙着色。

那么针对不同原因造成的牙齿变色,我们通常会有不同的应对策略。
一般来说大部分牙黄都是外源性牙黄,外源性牙黄可以通过定期洗牙、化学美白、牙贴面等方式达到清洁的目的,其中由于化学美白和牙贴面的治疗周期短,效果自然,所以这两种牙齿美白技术是现代比较常见的美白方法。
化学美白是指将化学氧化性漂白药物放在牙齿表面或内部,与牙齿发生化学反应使牙齿本身的颜色变白,主要方法有冷光美白、皓齿美白等。
贴面又称牙贴面,是采用粘结技术,对牙齿表面缺损、着色牙、变色牙和畸形牙等,在保存活髓、少磨牙或不磨牙的情况下,用修复材料直接或间接粘结覆盖,以恢复牙体正常形态和改善其色泽的一种修复方法。

但是并不是所有人都适合做牙齿贴面,牙贴面以磨牙少甚至可以不磨牙的优势得到广大消费者的认可,但是做牙贴面对牙齿的硬性较高,要求是牙齿一定要整齐,如此一来做牙贴面才能达到非常美观的效果。
通常来说牙齿美白效果可以维持到一到三年,牙贴面保护得当,效果是永久的,良好的口腔卫生和饮食习惯、定期的巩固治疗也是会对后续的保持起到一定影响的。
做牙齿美白都要先看牙医,第一是为了进行全面的口腔检查,明确牙齿变色的原因,制定方案,并且排除其他口腔疾病以及全身性疾病;第二是做一些准备工作,医生通过口腔卫生知道让患者养成良好的口腔卫生环境,控制牙周炎症等问题。这里对医生的要求就会很高,对医院的配置要求也会很严格,所以需要慎重选择牙科医院,像杭州萧山牙科医院一样。
杭州萧山牙科医院开展牙齿美白技术多年,经过多年发展,培养出一批经验丰富的医生,如范医生在修复领域造诣颇深,从业多年经验丰富,为众多牙黄患者带来舒适可靠的美白体验。

杭州萧山牙科医院致力于全面的医疗诊治以及高质量的手术保障,为更多群众提供覆盖面宽广、便捷的医疗服务,为牙黄人群带来福音。